DB Lab Digest

6 Common Questions Asked When Choosing a Millable Lithium-Disilicate Glass-Ceramic

6 Common Questions Asked When Choosing a Millab...

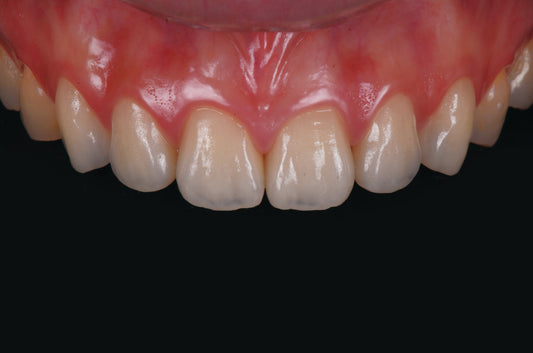
DB Lab Supplies highlights the six key questions for dental technicians when choosing a lithium disilicate, and explains how Amber Mill, a versatile restorative material from Hass Bio, provides a predictable and...

6 Common Questions Asked When Choosing a Millab...

DB Lab Supplies highlights the six key questions for dental technicians when choosing a lithium disilicate, and explains how Amber Mill, a versatile restorative material from Hass Bio, provides a predictable and...

How CAD/CAM Milling Centres Support Dental Labs: The 5 Advantages.

How CAD/CAM Milling Centres Support Dental Labs...

DB Lab Supplies spoke to Raymond Otto, of Zfx Birmingham, about why so many dental technicians benefit from using milling centres, how the future of digital dentistry is evolving, and why he uses...

How CAD/CAM Milling Centres Support Dental Labs...

DB Lab Supplies spoke to Raymond Otto, of Zfx Birmingham, about why so many dental technicians benefit from using milling centres, how the future of digital dentistry is evolving, and why he uses...

Victoria Runs Ilkley Half Marathon For Charity With Support From Team DB Members

Victoria Runs Ilkley Half Marathon For Charity ...

Sales Director Victoria Coppack, Digital Designer Carl Carver, and Marketing Coordinator Maria Brophy were feeling proud yesterday after completing the Ilkley half marathon.

Victoria Runs Ilkley Half Marathon For Charity ...

Sales Director Victoria Coppack, Digital Designer Carl Carver, and Marketing Coordinator Maria Brophy were feeling proud yesterday after completing the Ilkley half marathon.

How CAD/CAM Expert Keith Morgan Evolved and Adapted His Craft

How CAD/CAM Expert Keith Morgan Evolved and Ada...

Hyperion User and CAD/CAM Expert Keith Morgan shares his career story, passions and future goals.

How CAD/CAM Expert Keith Morgan Evolved and Ada...

Hyperion User and CAD/CAM Expert Keith Morgan shares his career story, passions and future goals.

Not Your Run of The Mill: Q&A with Toothworx Lab Founder and Whitepeaks Hyperion User Keith Morgan.

Not Your Run of The Mill: Q&A with Toothworx La...

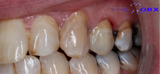
Keith Morgan is founder and director of Cardiff Digital Dental Laboratory Toothworx. Here, he talks CAD/CAM, doing his bit for the NHS, buying from British labs, and why he loves...

Not Your Run of The Mill: Q&A with Toothworx La...

Keith Morgan is founder and director of Cardiff Digital Dental Laboratory Toothworx. Here, he talks CAD/CAM, doing his bit for the NHS, buying from British labs, and why he loves...

Keystone Industries and Nexa3D join forces to deliver higher productivity and performance 3D printing solutions for the dental industry

Keystone Industries and Nexa3D join forces to d...

On January 19th 2021, Nexa3D and Keystone Industries announced a collaboration to make all Keystone KeyPrint® 3D printing dental resins available worldwide on Nexa3D’s ultrafast NXE 400 3D printers.

Keystone Industries and Nexa3D join forces to d...

On January 19th 2021, Nexa3D and Keystone Industries announced a collaboration to make all Keystone KeyPrint® 3D printing dental resins available worldwide on Nexa3D’s ultrafast NXE 400 3D printers.