DB Lab Digest

"I Will Sing Iconic's Praises to High Heaven" Shaun Sinclair at Sinclair Orthodontics Shares his Story.

"I Will Sing Iconic's Praises to High Heaven" S...

Meet Head Technician Shaun Sinclair at family company Sinclair Orthodontics. It provides an expert level of service and efficiency, and an unmatched level of patient comfort using, in their words,...

"I Will Sing Iconic's Praises to High Heaven" S...

Meet Head Technician Shaun Sinclair at family company Sinclair Orthodontics. It provides an expert level of service and efficiency, and an unmatched level of patient comfort using, in their words,...

"From a Technician’s Perspective it is Great to Work with" Iconic Lux Review by Nicholas Little at Clear Straight Aligners

"From a Technician’s Perspective it is Great to...

Why is Iconic Lux thermoforming material a popular choice among dental technicians? Nicholas Little at ClearStraightTM aligners serves GDPs and Orthodontists throughout the UK and Ireland. Here he shares his success story, and why he...

"From a Technician’s Perspective it is Great to...

Why is Iconic Lux thermoforming material a popular choice among dental technicians? Nicholas Little at ClearStraightTM aligners serves GDPs and Orthodontists throughout the UK and Ireland. Here he shares his success story, and why he...

10 Things to Look for in a Nano-Hybrid Ceramic

10 Things to Look for in a Nano-Hybrid Ceramic

What makes one Nano Hybrid Ceramic stand out over another? As technicians and clinicians demand more from a ceramic composite restoration, what is the standard? And, what should you be...

10 Things to Look for in a Nano-Hybrid Ceramic

What makes one Nano Hybrid Ceramic stand out over another? As technicians and clinicians demand more from a ceramic composite restoration, what is the standard? And, what should you be...

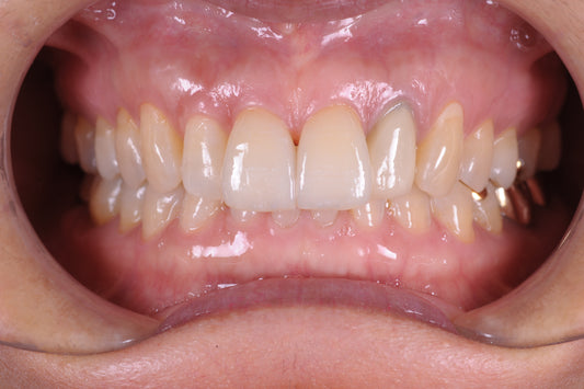
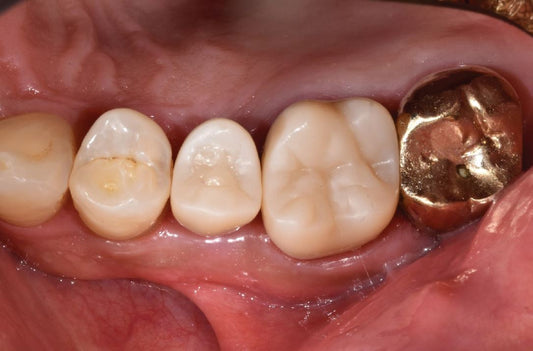
A Great Aesthetic Result: Amber Press Lithium Disilicate Laminate Veneers

A Great Aesthetic Result: Amber Press Lithium D...

Dr Lee Hee-kyung, Director of Hee-Kyung Lee Dental Art Clinic, and Jang Won Pil, Hass Instructor and Dental Technician at Hee-Kyung Lee Dental Art Clinic, Seoul, Korea, present a clinical...

A Great Aesthetic Result: Amber Press Lithium D...

Dr Lee Hee-kyung, Director of Hee-Kyung Lee Dental Art Clinic, and Jang Won Pil, Hass Instructor and Dental Technician at Hee-Kyung Lee Dental Art Clinic, Seoul, Korea, present a clinical...

Get inspired this DTS with DB Lab Supplies supporting the Dental Technicians Guild (DTG) and friends

Get inspired this DTS with DB Lab Supplies supp...

The DB Lab Supplies team are excited to be hosting an array of exciting demonstrations from the talented DTG and friends. Come watch the technique demonstrations on stand F22 held...

Get inspired this DTS with DB Lab Supplies supp...

The DB Lab Supplies team are excited to be hosting an array of exciting demonstrations from the talented DTG and friends. Come watch the technique demonstrations on stand F22 held...

A Lockdown Story: How We Bounced Back Stronger.

A Lockdown Story: How We Bounced Back Stronger.

Dental Technicians Anthony Bayley and Agnieszka (Aga) Scibisz co-own Cardiff based crown and bridge laboratory Prime Ceramics. Here, they share how lockdown became an opportunity to launch their business, and...

A Lockdown Story: How We Bounced Back Stronger.

Dental Technicians Anthony Bayley and Agnieszka (Aga) Scibisz co-own Cardiff based crown and bridge laboratory Prime Ceramics. Here, they share how lockdown became an opportunity to launch their business, and...